Periodontics

Healthy gums, strong foundation

Scaling and root planing

About the Service

Periodontics focuses on preventing, diagnosing, and treating gum disease and supporting structures around your teeth. Our approach combines gentle non-surgical therapy, targeted surgical care when needed, and ongoing maintenance to keep your gums healthy for the long term.

  • Personalized gum-health plans based on pocket depth & bleeding scores
  • Comfortable cleaning with localized anesthesia options
  • Strict sterilization & evidence-based protocols

What We Offer in Periodontics

Scaling & Root Planing

Deep cleaning to remove plaque and calculus below the gumline.

Periodontal Maintenance

Tailored recall cleanings to manage gum health after therapy.

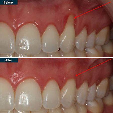
Soft-Tissue Grafts

Gum grafting to cover recession and protect sensitive roots.

Crown Lengthening

Reshaping gum & bone for restorative or smile-line needs.

Periodontal maintenance visit

Patients Notice the Difference

“Bleeding reduced after my first deep cleaning. Maintenance visits keep everything stable.”

“They explained my pocket charting and gave me a simple home routine that works.”

“Gentle, thorough, and very professional periodontal care.”

Related Services

Explore treatments that support long-term dental health.

General Dentistry

Check-ups, cleanings, fillings, and prevention.

Learn more

Cosmetic Dentistry

Whitening, bonding, veneers and smile design.

Learn more

Emergency Care

Relief for pain, infection and acute gum issues.

Learn more

Ready to protect your gums?

Book a periodontal evaluation and personalized plan.

Book an Appointment